Queen Square Imaging Centre : une avancée majeure contre le tremblement essentiel

Une nouvelle avancée au Queen Square Imaging Centre offre de l’espoir aux personnes atteintes de tremblement essentiel. Grâce à une technique d’imagerie unique, les patients peuvent désormais bénéficier d’un traitement plus précis et moins invasif. Cette innovation pourrait bien changer la vie de milliers de personnes.
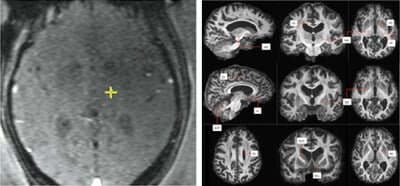
Une technique d’imagerie innovante pour traiter le tremblement essentiel
Le Queen Square Imaging Centre a développé une technique d’IRM de pointe appelée FAT1. Cette méthode fusionne différents types de scanners pour obtenir une image très précise du cerveau. Grâce à cette approche, les médecins peuvent cibler exactement la zone responsable du tremblement essentiel.
Traditionnellement, le traitement reposait sur des cartes cérébrales standards. Or, la structure à traiter, appelée Vim, est très difficile à localiser. L’imagerie FAT1 permet une visualisation directe et personnalisée. C’est donc une avancée majeure pour la précision des interventions.
Les avantages du MRgFUS face aux traitements traditionnels
La technique utilisée, appelée ultrason focalisé guidé par IRM (MRgFUS), se distingue des anciennes méthodes. Contrairement à la stimulation cérébrale profonde ou à l’ablation, elle ne nécessite aucune incision ni implants.
- Procédure entièrement non invasive
- Aucune chirurgie, donc moins de risques
- Récupération plus rapide
La MRgFUS concentre des ondes sonores sur la zone à traiter. Elle chauffe puis “éteint” la partie du cerveau responsable des tremblements, sous contrôle IRM en temps réel. Ce traitement est donc plus sûr et plus confortable pour les patients.
Des résultats prometteurs pour améliorer la qualité de vie
Les résultats de l’étude sont très encourageants. Quatorze patients ont été traités avec la nouvelle méthode. Après douze mois, leurs tremblements avaient diminué de 60 % en moyenne. Tous les participants ont noté une meilleure qualité de vie.
- Effets secondaires plus légers et de courte durée
- Procédures plus rapides
- Moins d’énergie utilisée
- Ciblage précis dès le premier essai
Ces progrès rendent le traitement accessible aux patients ne répondant pas aux médicaments classiques, leur offrant de nouvelles perspectives.
En conclusion, le Queen Square Imaging Centre confirme sa place de leader dans la neuro-imagerie et le traitement du tremblement essentiel. L’adoption de la technologie FAT1 et du MRgFUS représente un véritable bond en avant pour la prise en charge de cette maladie. La précision du geste, le confort des patients et l’efficacité des résultats ouvrent de nouvelles voies vers une meilleure qualité de vie. Pour toute question sur ce traitement, il est conseillé de consulter un spécialiste.
Lisez notre dernier article tech : Halo: Campaign Evolved débarque enfin sur PS5 !



